Implantatna protetika

Vijačena implantatna prevleka

Vijačena implantatna prevleka

Z vijačeno implantatno prevleko nadomestimo celotni kronski del zoba in del korenine do implantata v kosti. Z implantatom se izognemo brušenju sosednjih zob za izdelavo mostička in jih ohranimo nedotaknjene. Vijak nam omogoča, da lahko v primeru morebitnih začasnih težav zob odvijačimo, odpravimo nevšečnosti in zob ponovno privijačimo nazaj na svoje mesto, brez poškodovanja protetike. V ordinaciji prenesejo položaj implantata v kosti s tehniko intraoralnega skeniranja ali klasično tehniko odtiskovanja. Materiali, ki jih uporabljamo za izdelavo zob na implantatih so visoko biokompatibilni, funkcionalni in visoko estetski. Za čas izdelave implantatne prevleke naredimo začasni zob iz PMMA, ki ohranja prostor vrzeli, oblikuje mehka tkiva in ohranja estetiko ter funkcijo.

Osnovni material: Zirkonia, steklo keramika, laboratorijski kompozit, PEEK, Titan

Tehnologija izdelave: CAD/ CAM/ CNC/ SLM/ ročna finalizacija

Zanima me več: KONTAKTNI OBRAZEC

Invazivno
Invazivno

Obravnava pacienta: do 5 mesecev od vstavitve implantata, izdelava implantatne prevleke do 10 dni  

Cementirana implantatna prevleka

Cementirana implantatna prevleka

S cementirano implantatno prevleko nadomestimo celotni kronski del zoba in del korenine do implantata v kosti. Z implantatom se izognemo brušenju sosednjih zob za izdelavo mostička in jih ohranimo nedotaknjene. Tehniko cementiranja implantatne prevleke uporabimo samo v primeru, ko zaradi tehničnih ali estetskih razlogov vijačenje ni mogoče. V ordinaciji prenesejo položaj implantata v kosti s tehniko intraoralnega skeniranja ali klasično tehniko odtiskovanja. Nosilec implantatne prevleke se privijači v implantat, na nosilec pa se v ordinaciji zacementira zobna krona. Materiali, ki jih uporabljamo za izdelavo zob na implantatih so visoko biokompatibilni, funkcionalni in visoko estetski. Za čas izdelave implantatne prevleke naredimo začasni zob iz PMMA, ki ohranja prostor vrzeli, oblikuje mehka tkiva in ohranja estetiko ter funkcijo.

Osnovni material: Zirkonia, steklo keramika, laboratorijski kompozit, PEEK, Titan, CoCr

Tehnologija izdelave: CAD/ CAM/ CNC/ SLM/ ročna finalizacija

Zanima me več: KONTAKTNI OBRAZEC

Invazivno
Invazivno

Obravnava pacienta: do 5 mesecev od vstavitve implantata, izdelava implantatne prevleke do 10 dni  

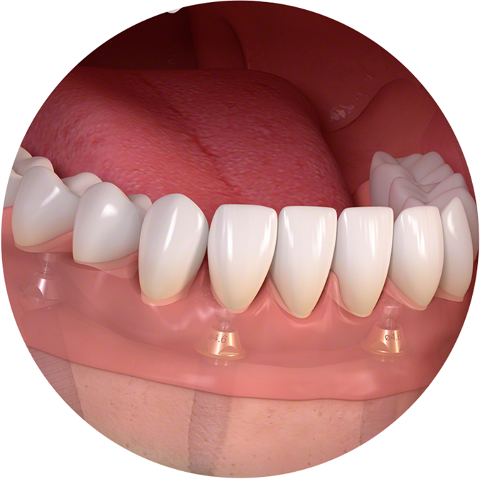
Vijačen implantatni most

Vijačen implantatni most

Z vijačenim implantatnim mostičkom nadomestimo več manjkajočih zob v zgornji ali spodnji čeljusti. Vijačen implantatni mostiček je odlična rešitev, da se izognemo obsežnemu brušenju zdravih zob in jih  ohranimo nedotaknjene ali se izognemo izdelavi snemne proteze, ki je za pacienta v večini primerov mnogo bolj moteča in zahteva več prilagajanja in vzdrževanja. Vijaki nam omogočajo, da lahko v primeru morebitnih začasnih težav mostiček odvijačimo, odpravimo nevšečnosti in mostiček ponovno privijačimo nazaj na svoje mesto, brez poškodovanja protetike. V ordinaciji prenesejo položaj implantatov v kosti s tehniko intraoralnega skeniranja ali klasično tehniko odtiskovanja. Materiali, ki jih uporabljamo za izdelavo mostičkov na implantatih so visoko biokompatibilni, izredno visoke trdnosti, funkcionalni in visoko estetski. Za čas izdelave implantatnega mostička naredimo začasni mostiček iz PMMA , ki ohranja prostor vrzeli, oblikuje mehka tkiva in ohranja estetiko ter funkcijo.

Osnovni material: Zirkonia, steklo keramika, laboratorijski kompozit, PEEK, Titan, CoCr

Tehnologija izdelave: CAD/ CAM/ CNC/ SLM/ ročna finalizacija

Zanima me več: KONTAKTNI OBRAZEC

Invazivno
Invazivno

Trajanje posega: do 5 mesecev od vstavitve implantata, izdelava implantatnega mosta od 10 dni do 30 dni  

All on 4

All on 4 / 6

Način izdelave All on 4 / 6 pomeni, da nadomestimo v brezzobi zgornji oziroma spodnji čeljusti vse zobe, ki so privijačeni na 4 ali 6 implantatov. Pacientu najprej izdelamo totalno protezo, s katero uskladimo estetiko in stabiliziramo ugriz. Nato s kirurgom in protetikom sledi načrtovanje vstavitve implantantov, da pacient,  še pred začetkom kirurškega posega, dobi občutek kako bo izdelan končni izdelek. Pacientu, ki že ima ustrezno protezo, načrt vstavitve implantantov naredimo na obstoječi protezi, ki jo po potrebi tudi skeniramo in naredimo duplikat. All on 4 / 6 implantatni most je zavijačen v implantate in se ne snema iz ust. Vijaki nam omogočajo, da lahko v primeru morebitnih začasnih težav mostiček odvijačimo, odpravimo nevšečnosti in mostiček ponovno privijačimo nazaj na svoje mesto, brez poškodovanja protetike. Materiali, ki jih uporabljamo za izdelavo mostičkov na implantatih so visoko biokompatibilni, izredno visoke trdnosti, funkcionalni in visoko estetski. Za čas izdelave implantatnega mostička ima pacient obstoječo protezo, lahko pa naredimo tudi začasni mostiček iz PMMA , ki ohranja prostor vrzeli, oblikuje mehka tkiva in ohranja estetiko ter funkcijo.

Osnovni material: Zirkonia, steklo keramika, laboratorijski kompozit, PEEK, Titan, CoCr

Tehnologija izdelave: CAD/ CAM/ CNC/ SLM/ ročna finalizacija

Zanima me več: KONTAKTNI OBRAZEC

Invazivno
Invazivno

Obravnava pacienta: do 5 mesecev od vstavitve implantata, izdelava implantatne konstrukcije do 30 dni

Implantatna proteza z LOCATORJI

Implantatna proteza z LOCATORJI 

Implantatna proteza z LOCATORJI je odlična ekonomska in funkcionalna rešitev za paciente, ki so izgubili vse zobe v spodnji čeljusti in imajo slabe retencijske pogoje za fiksacijo totalne proteze. Pacient enostavno vstavi protezo v usta in jo pritisne na vgrajena Locatorja na implantatu, ki držita totalno protezo na svojem mestu. Pacientu vstavijo vsaj dva implantata  v spodnji čeljusti ali štiri implantate v zgornji čeljusti. Manjkajoče zobe nadomestimo s kompozitnimi zobmi, mehka tkiva pa nadomestimo s PMMA v barvi dlesni. Celotna  proteza je ojačana s kovinsko ojačitvijo, ki je skrita v protezini osnovi in se je ne vidi. Moč retencije se uravnava z različnimi retencijskimi gumicami.

Osnovni material: Kompozitni zobje, PMMA, CoCr ojačitev

Tehnologija izdelave: CAD/ CAM/ CNC/ SLM/ ročna finalizacija, brizganje

Zanima me več: KONTAKTNI OBRAZEC

Invazivno
Invazivno

Obravnava pacienta: do 5 mesecev od vstavitve implantata, izdelava implantatne konstrukcije do 30 dni  

Implantatna proteza na gredi

Implantatna proteza na gredi 

Implantatna proteza na gredi je odlična funkcionalna rešitev za paciente, ki so izgubili vse zobe v spodnji ali zgornji čeljusti in imajo slabe retencijske in stabilizacijske pogoje za fiksacijo totalne proteze, manjka pa jim tudi veliko podpornih tkiv. Pacient enostavno vstavi protezo v usta in jo pritisne na izdelano gred z retencijskimi elementi, ki je privijačena na najmanj dveh implantatih in drži totalno protezo na svojem mestu. Optimalno je, da pacientu vstavijo štiri implantate v spodnji čeljusti oziroma v zgornji čeljusti. Gred izdelamo s CAD/CAM/CNC/ tehnologijo, osnovo za protezo natisnemo s SLM 3D tiskalnikom iz CoCr zlitine, manjkajoče zobe nadomestimo s kompozitnimi zobmi, mehka tkiva pa nadomestimo s PMMA v barvi dlesni. Celotna  proteza je ojačana s kovinsko ojačitvijo, ki je skrita pod akrilatno osnovo in se je ne vidi. Moč retencije se uravnava z različnimi retencijskimi gumicami.

Osnovni material: Kompozitni zobje, PMMA, CoCr ojačitev, Titan gred

Zanima me več: KONTAKTNI OBRAZEC

Tehnologija izdelave: CAD/ CAM/ CNC/ SLM/ ročna finalizacija, nalivanje PMMA

Invazivno
Invazivno

Obravnava pacienta: do 5 mesecev od vstavitve implantata, izdelava implantatne konstrukcije do 30 dni

Implantatna proteza na teleskopih

Implantatna proteza na teleskopih 

Implantatna proteza s teleskopskimi kapicami ali s teleskopsko gredjo je vrhunska rešitev za paciente, ki prisegajo na trajnost in zaupajo čistemu zlatu. Prav tako predlagamo izdelavo teleskopske implantatne proteze v primerih izredno slabe stabilizacije proteze, velikih anatomskih nepravilnostih čeljusti, zmanjšane ročne motorike pacienta in zahtevne ustne higiene.  Optimalno je, da pacientu vstavijo najmanj štiri implantate v spodnji čeljusti oziroma v zgornji čeljusti. Gred ali posamezne teleskope odvisno od primera, izdelamo s CAD/CAM/CNC/ tehnologijo, izdelamo sekundarne teleskopske dele iz 24 karatnega zlata in jih zalepimo v ojačitev iz CoCr zlitine, manjkajoče zobe nadomestimo s kompozitnimi zobmi, mehka tkiva s PMMA v barvi dlesni. Celotna proteza je ojačana s kovinsko ojačitvijo, ki jo izdelamo s SLM 3D tiskalnikom iz CoCr in je skrita pod akrilatno osnovo, da se je ne vidi. Adhezija teleskopov zagotavlja retencijo implantatni protezi. Razen rednega čiščenja, retencijski elementi ne zahtevajo nobenega vzdrževanja. 

Osnovni material: Kompozitni zobje, PMMA, CoCr ojačitev, Titan / CoCr gred, Au, Zirkonia

Tehnologija izdelave: CAD/ CAM/ CNC/ SLM/ ročna finalizacija, nalivanje PMMA, galvanizacija

Zanima me več: KONTAKTNI OBRAZEC

Invazivno
Invazivno

Obravnava pacienta: do 5 mesecev od vstavitve implantata, izdelava implantatne konstrukcije do 30 dni  

Košarica

Zapri